
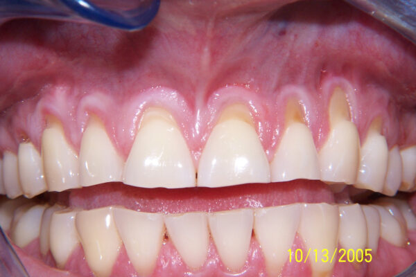
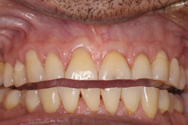
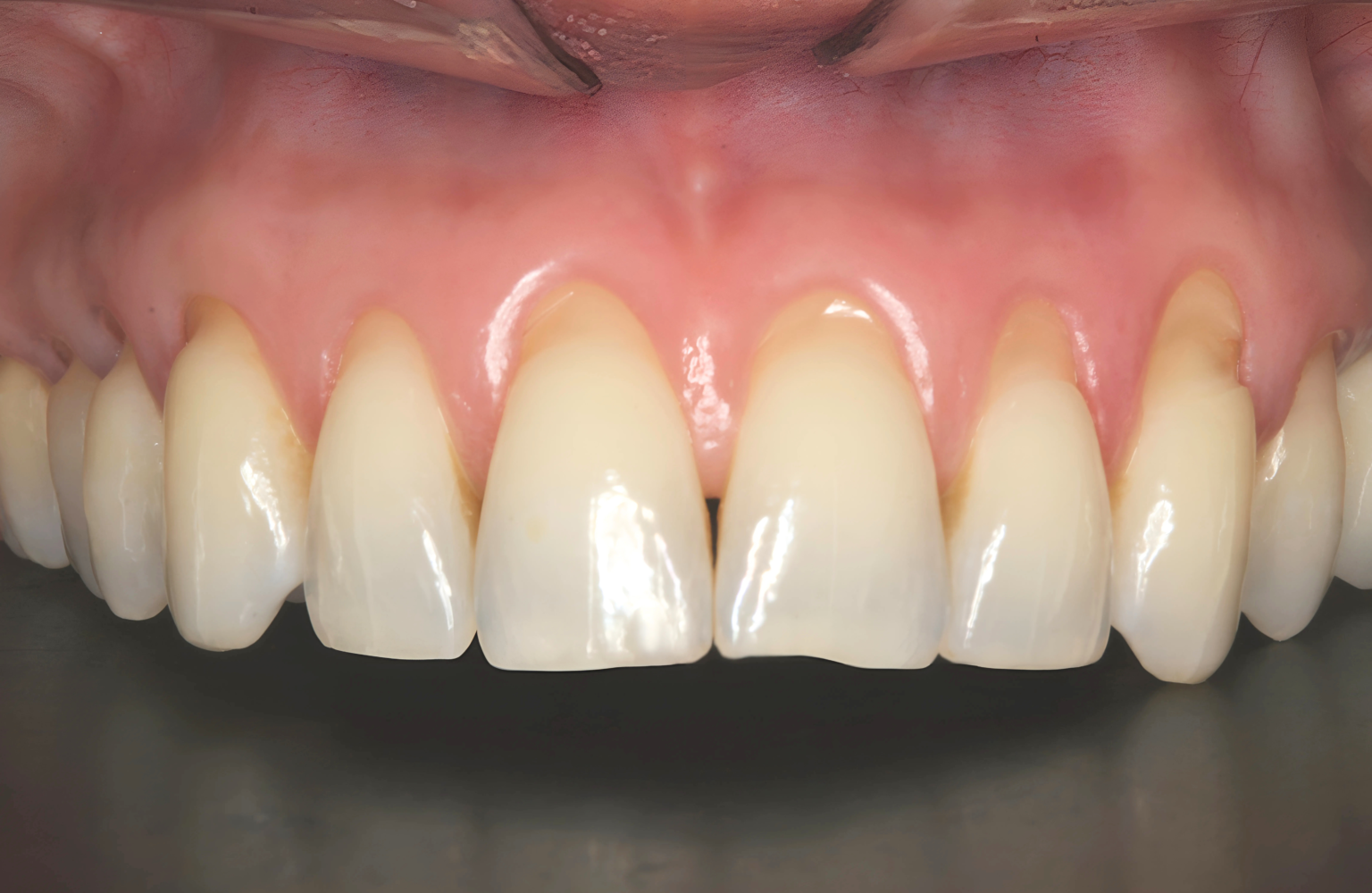
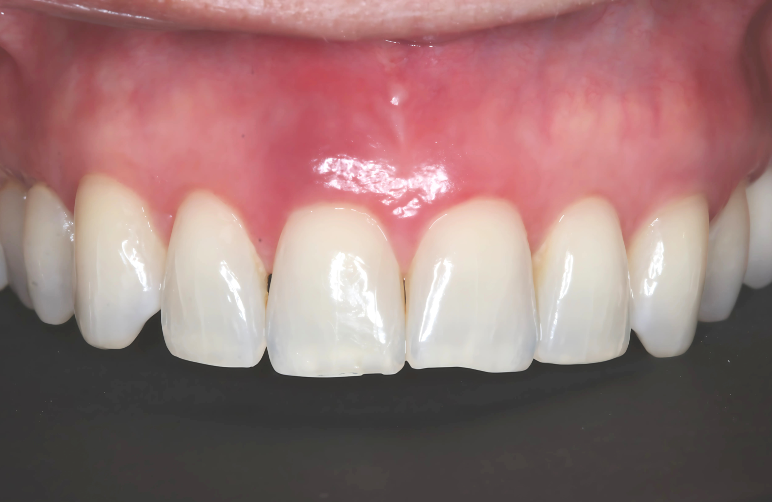
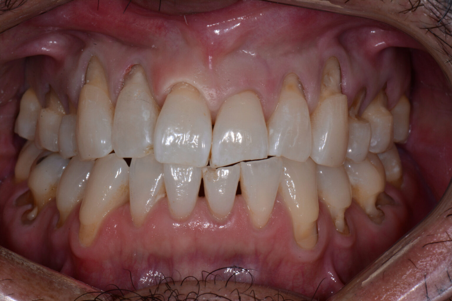
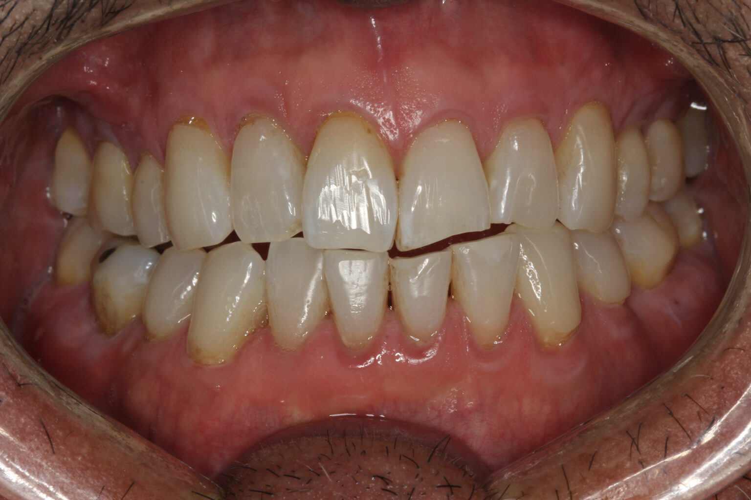
Dr. Yang had the honor of being the first doctor trained in the ground breaking, minimally invasive Pinhole procedure to correct gum recession. Since then, she has successfully performed numerous treatments, helping patients achieve healthy, natural-looking gums without the discomfort and downtime of traditional grafting surgery. With over a decade of experience, Dr. Yang is committed to delivering the highest standard of care. Today, both General and Periodontists across the country offer this proven technique, but Dr. Yang’s early training and extensive experience uniquely positions her to provide patients with optimal results, quick recovery, and virtually pain-free treatment compared to the conventional graft.
How it Works:
- Small Hole:
A tiny pinhole is made in the gum tissue above the receding gum line. - Tissue Manipulation:
Specialized instruments are inserted through the pinhole to loosen and carefully guide the existing gum tissue over the exposed tooth root. - Collagen Support:
Small strips of collagen are inserted through the pinhole to stabilize the repositioned gum tissue and promote healing. - Healing:
Because no incisions or sutures are needed, healing is typically faster and less painful than with traditional gum grafting.

Benefits:
- Minimally Invasive:
The procedure avoids cutting and suturing, leading to less discomfort and faster recovery. - No Grafting:
Pinhole surgery doesn’t require taking tissue from the roof of the mouth, eliminating the need for a second surgical site. - Cosmetic Improvement:
Patients often see an immediate improvement in the appearance of their smile with the gum line restored. - Potential Cost Savings:
Compared to traditional grafting, pinhole surgery can be more cost-effective, especially when multiple teeth are involved. - Good for Certain Patients:
It can be a good option for patients with high blood pressure, arthritis, or diabetes, who may have contraindications for traditional gum surgery.

Important Considerations:
- Ideal Candidates:
Patients with moderate to severe gum recession and sufficient bone structure are generally good candidates. - Not a Substitute for Treating Gum Disease:
If gum disease is present, it needs to be addressed before pinhole surgery. - Consult with a Periodontist:
A qualified periodontist can assess your specific situation and determine if pinhole surgery is the right treatment for you.








